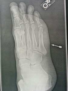
So this happened. I fractured a bone in my right foot. I’m still waiting to find out if it needs surgery or not. Regardless, there will be no working, fishing, driving or even walking for quite a while. That’s probably good news for the blog as I still have some photos outstanding from this summer. Time to exercise my typing muscles!
Metatarsal Malfunction
Published by Adam
Adam has a master’s degree in mathematics, a black belt in aikido, and has worked enough jobs to fill a book—sushi chef, Peace Corps volunteer, and police detective among them. His writing and photos have shown up in The Drake, Tenkara USA, Hawaii Fishing News, and Sporting Classics Magazine. In 2023 he traded a badge in Honolulu for a skiff on the Columbia, where he now spends his days chasing carp with a fly rod and pretending it’s a retirement plan. View all posts by Adam
Published
